Because of a lapse in government funding, the information on this website may not be up to date, transactions submitted via the website may not be processed, and the agency may not be able to respond to inquiries until appropriations are enacted. The NIH Clinical Center (the research hospital of NIH) is open. For more details about its operating status, please visit
cc.nih.gov. Updates regarding government operating status and resumption of normal operations can be found at
opm.gov.
Meth takes a toll in South Africa
March/ April 2011 | Volume 10, Issue 2
The Republic of South Africa faces large public health challenges, among them the prevalence of HIV/AIDS and tuberculosis. An epidemic of methamphetamine use among youth in the Western Cape Province has focused on brain changes from drug use and spotlighted the connection between substance abuse and risky sexual behavior.
Deborah Yurgelun-Todd, a professor of psychiatry and director of cognitive neuroimaging at The Brain Institute of the University of Utah medical school, is studying the effects of cannabis and methamphetamine abuse on the adolescent brain and how this may contribute to the spread of HIV/AIDS. Fogarty’s Brain Disorders in the Developing World: Research Across the Lifespan program has allowed her to expand the research to track brain changes from adolescence to adulthood.
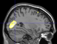
Methamphetamine users in Cape Town,
South Africa were examined using
magnetic resonance imaging.

In meth users, an area of the brain called
the putamen was enlarged, indicating an
increased desire for the drug.
Scans courtesy of Deborah Yurgelun-Todd
Estimates suggest as many as 200,000 methamphetamine users in Cape Town, with 70 percent of those under 20 years of age, according to the country’s Medical Research Council. The majority of teenagers seeking drug treatment in Cape Town are mainly using methamphetamines. Yurgelun-Todd and her South African colleagues said they had “an arguably unique opportunity” to examine drug users in the 13 to 17-year-old range.
Meth is known locally as “tik,” an Afrikaans word that mimics the sound made by the crystals in glass receptacles used to heat and inhale the drug’s vapors.
The question Yurgelun-Todd is exploring concerns the impact of methamphetamine on the developing brain. The consequences of heavy methamphetamine use - with or without cannabis - on the adolescent brain function and structure “remain poorly understood.” With more than 1.5 million regular meth users in the U.S., it’s a topic highly relevant to Americans.
Subjects were tested using magnetic resonance imaging (MRI) and functional MRI, which measures blood flow and metabolic changes. Forty subjects were scanned: 10 were tik and pot users, 10 used cannabis and 20 were controls.
From the structural imaging or MRI data, researchers found that, in the meth-pot users, a part of the brain called the putamen was enlarged. “This area has been related, in other studies as well, to reward circuitry, or the desirability of the drug,” said Yurgelun-Todd. “Changes in this region secondary to drug abuse initiation may be associated with reduced sensitivity to the rewarding properties of drugs and lead to increased drug taking.”
Assessing the data from the functional MRI scans, the tik-and-pot using subjects activated a part of the brain called the posterior cingulate. This suggests that normal controls on impulsivity to act out are lacking and there is a loss of self-control or inhibition.
So are these changes to the brain permanent or long lasting? “That’s an area that we’re continuing to study,” she said. “We’ve done some preliminary work with adult cannabis users after a 28-day washout and it shows there is a residual effect even if you discontinue the drug use. But it also appears there’s a significant impact as far as when you start using.”
Yurgelun-Todd said that she had been doing some research in the United States funded by the National Institute on Drug Abuse (NIDA) and wanted to see whether some of the hypotheses they found would hold true in different populations. When she became aware that NIDA and Fogarty had a collaborative program to study brain disorders internationally, she applied for a grant because she wanted to study adolescents in South Africa.
Her project includes training her South African partners in the use of their first-ever imaging equipment and how to analyze results, critical to building research capacity.
“We think during these maturational years your brain is more vulnerable to these drugs than it would be if you made it through the maturational period without drug use,” she said.
The research may help scientists understand how substance abuse changes the brain in a way that makes further abuse more likely and why early intervention with drug users may be crucially important. Yurgelun-Todd said they’ve completed the collection of data from the study and are submitting manuscripts.
More Information
To view Adobe PDF files,
download current, free accessible plug-ins from Adobe's website.